Η πνευμονία είναι μια σοβαρή λοίμωξη των πνευμόνων που μπορεί να επηρεάσει οποιονδήποτε, ανεξαρτήτως ηλικίας. Προκαλείται από βακτήρια, ιούς ή, σπανιότερα, μύκητες και επηρεάζει τα κυψελιδικά τμήματα των πνευμόνων, προκαλώντας φλεγμονή και συσσώρευση υγρού. Αν και στις περισσότερες περιπτώσεις είναι ιάσιμη, μπορεί να γίνει επικίνδυνη, ιδιαίτερα για ευπαθείς ομάδες.
Ποια είναι τα συμπτώματα της πνευμονίας
Τα συμπτώματα της πνευμονίας ποικίλλουν ανάλογα με την ηλικία, τη γενική υγεία του ατόμου και τον αιτιολογικό παράγοντα. Τα πιο κοινά περιλαμβάνουν:
- Υψηλός πυρετός (συχνά με ρίγη)
- Βήχας με παραγωγή φλέγματος (σε βακτηριακή μορφή) ή ξηρός βήχας (σε ιογενή)
- Πόνος στο στήθος κατά την αναπνοή ή τον βήχα
- Δυσκολία στην αναπνοή ή ταχύπνοια
- Κόπωση, αδυναμία
- Απώλεια όρεξης και πονοκέφαλος
- Σύγχυση (ειδικά στους ηλικιωμένους)
Πότε γίνεται επικίνδυνη η πνευμονία
Η πνευμονία μπορεί να εξελιχθεί σε απειλητική για τη ζωή κατάσταση, ειδικά όταν:
1. επηρεάζει άτομα υψηλού κινδύνου:
- Ηλικιωμένοι (άνω των 65 ετών)
- Παιδιά κάτω των 2 ετών
- Άτομα με χρόνια νοσήματα (καρδιοπάθειες, διαβήτη, ΧΑΠ)
- Ανοσοκατεσταλμένοι (καρκινοπαθείς, μεταμοσχευμένοι, HIV)
2. προκαλεί επιπλοκές όπως:
- Αναπνευστική ανεπάρκεια
- Σήψη (βακτηριακή λοίμωξη που εξαπλώνεται στο αίμα)
- Πλευρίτιδα ή πλευριτικό υγρό
- Αποστήματα στους πνεύμονες
Η έγκαιρη διάγνωση και θεραπεία είναι καθοριστικής σημασίας για την αποφυγή αυτών των επιπλοκών.
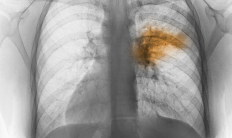
Πώς γίνεται η διάγνωση
Η διάγνωση της πνευμονίας βασίζεται σε:
- Κλινική εξέταση: ακρόαση πνευμόνων με στηθοσκόπιο
- Ακτινογραφία θώρακα: εντοπίζει τη φλεγμονή
- Εξετάσεις αίματος: δείχνουν σημεία φλεγμονής (λευκοκυττάρωση, CRP)
- Καλλιέργεια πτυέλων: για ταυτοποίηση του μικροβίου
- Δοκιμές για ιούς: ειδικά σε περιόδους εποχικών λοιμώξεων (π.χ. γρίπη, COVID-19)
Πώς θεραπεύεται η πνευμονία
Η θεραπεία εξαρτάται από την αιτία της λοίμωξης και τη σοβαρότητά της:
1. βακτηριακή πνευμονία
- Αντιβιοτικά: η επιλογή γίνεται ανάλογα με την ηλικία και τον γενικό οργανισμό του ασθενούς. Σε απλές περιπτώσεις, η θεραπεία μπορεί να γίνει στο σπίτι.
- Αντιπυρετικά και παυσίπονα για ανακούφιση των συμπτωμάτων
- Ενυδάτωση και ανάπαυση
2. ιογενής πνευμονία
- Δεν απαιτείται αντιβίωση εκτός αν επιπλακεί με βακτηριακή λοίμωξη.
- Αντιϊκά φάρμακα (σε συγκεκριμένες περιπτώσεις όπως γρίπη ή COVID-19)
- Υποστηρικτική αγωγή (πυρετός, υγρά, ξεκούραση)
3. νοσηλεία σε σοβαρές περιπτώσεις
- Σε περιπτώσεις αναπνευστικής ανεπάρκειας, χαμηλού κορεσμού οξυγόνου ή επιπλοκών, απαιτείται εισαγωγή στο νοσοκομείο.
- Οξυγονοθεραπεία
- Ενδοφλέβια αντιβιοτικά ή υγρά
- Μονάδα εντατικής θεραπείας (σε εξαιρετικά βαριές περιπτώσεις)
Πρόληψη της πνευμονίας
Η πρόληψη βασίζεται σε υγιεινές συνήθειες και εμβολιασμό:
- Εμβόλιο κατά της πνευμονιόκοκκου: συνιστάται για ηλικιωμένους και άτομα με χρόνια νοσήματα
- Εμβόλιο κατά της γρίπης: αποτρέπει ιογενείς λοιμώξεις που μπορεί να οδηγήσουν σε πνευμονία
- Εμβόλιο COVID-19
- Διακοπή καπνίσματος
- Καλή υγιεινή χεριών και αποφυγή επαφής με ασθενείς
- Επαρκής ξεκούραση και ενίσχυση του ανοσοποιητικού μέσω διατροφής και άσκησης


